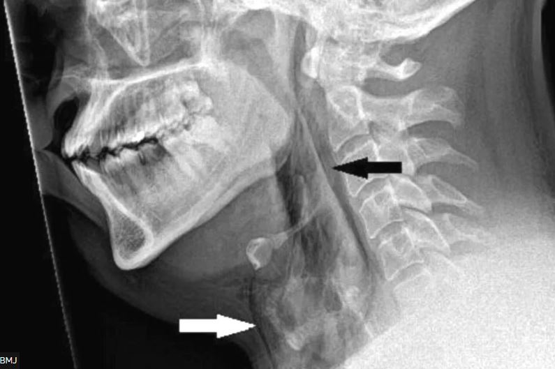
A 30-as éveiben járó beteget súlyos fájdalmakkal szállították a skót dundee-i Ninewells kórházba. A vizsgálatok kimutatták, hogy 2 mm-es szakadást szenvedett a légcsövében, mert befogta az orrát és becsukta a száját tüsszentés közben, írja a BBC.
A Dundee Egyetem orvosai szerint, ha tüsszentés közben a száj és az orr is zárva van, a felső légutakban a nyomás körülbelül hússzorosára nőhet, ami olyan sérülésekhez is vezethet, mint dobhártyaszakadás, aneurizma vagy akár bordatörés. A BMJ Case Reports című orvosi folyóiratban dokumentált eset leírásában az szerepel, hogy az egyébként allergiás férfi – aki autóvezetés közben fojtott vissza egy tüsszentést - kórházba érkezésekor már képtelen volt mozgatni a nyakát, amelynek vizsgálata során az orvosok recsegő hangot hallottak.
A légcsövön felfedezett lyuk apró volt, így a betegnek nem volt szüksége sebészeti beavatkozásra, megfigyelés céljából azonban a kórházban tartották. Mikor kiengedték, fájdalomcsillapítót és szénanátha elleni gyógyszert kapott, illetve azt tanácsolták neki, hogy két hétig kerülje a megerőltető fizikai tevékenységet. Egy öt héttel később végzett vizsgálat kimutatta, hogy a szakadás teljesen begyógyult.
Dr. Rasads Misirovs, a tanulmány vezető szerzője a BBC-nek elmondta, hogy a tüsszentés a szervezet természetes védekező mechanizmusa, így távolítja el az irritáló anyagokat az orrjáratokból, ezért nem szabad ezt megakadályoznunk. A légcső átszakadása, orvosi nevén a "spontán légcsőperforáció" akár életveszélyes lehet, azonban meglehetősen ritkán fordul elő.
2018-ban szintén az Egyesült Királyságban történt, hogy az orvosoknak egy 34 éves férfit kellett ellátni, akinek elszakadt a légcsöve, miközben megpróbált visszafojtani egy nagy erejű tüsszentést. A férfi azt mondta, hogy a tüsszentés során "pattanó" érzést tapasztalt, ezután pedig azonnal nagy fájdalom hasított a nyakába, ami miatt utána a nyelés és a beszéd is nehezére esett. Amikor az orvosok megvizsgálták, duzzanatot és érzékenységet tapasztaltak a férfi torka és nyaka körül, a röntgenfelvétel pedig kimutatta, hogy a levegő a légcsőből egy repedésen keresztül a nyak lágyszövetébe távozik. A férfit a következő hét napban csövön keresztül kellett táplálni, hogy a szövetek begyógyulhassanak, az egy hetes kórházi kezelés után a beteg teljesen felépült.
Bár a tüsszentéseket visszafojtani nem szabad, az orvosok arra is figyelmeztetnek, hogy mindenképpen fedjük el a szánkat köhögés vagy tüsszentés közben, hogy ezzel megakadályozzuk a vírusok és baktériumok terjedését, ami különösen fontos az influenzaszezonban.
(Borítókép: BMJ)

        
                    Panamera Sport Turismo E-Hybridek
                    Minden, amit a Panamera tud, plusz még több. Ötszemélyes utastér óriási csomagtartóval és kategóriaelső variálhatósággal. Tisztán elektromos közlekedés vagy éppen 680 lóerő – amire Önnek éppen szüksége van.
                    IRÁNY A KONFIGURÁTOR
                
                                
                    
                    Panamera E-Hybridek
                    A V6-os vagy V8-as benzines turbómotor már önmagában elképesztő menetteljesítményeket hoz, de itt elektromotor is csatlakozik hozzájuk. Az eredmény: akár 680 lóerő és kimagasló sportosság. A luxus alapfelszereltség.
                    IRÁNY A KONFIGURÁTOR
                
                                
                    
                    Cayenne Coupé E-Hybridek
                    A sportautó a terepjárók között. A Cayenne Coupé nem köt kompromisszumokat, de még érzelmesebb kapcsolatot teremt. A 462 vagy 680 lóerős konnektorról tölthető hibrid hajtáslánc már csak hab a tortán.
                    IRÁNY A KONFIGURÁTOR
                
                                
                    
                    Elektromos Macan
                    A klasszikus Porsche formanyelv előremutató átdolgozásával a teljesen elektromos Macan már első pillantásra szemlélteti saját lelkületét. Legyen szó városi használatról vagy ingázásról, a teljesen elektromos Macan elemében van mindenhol, különösen, ha az egyéniség is számít.
                    IRÁNY A KONFIGURÁTOR