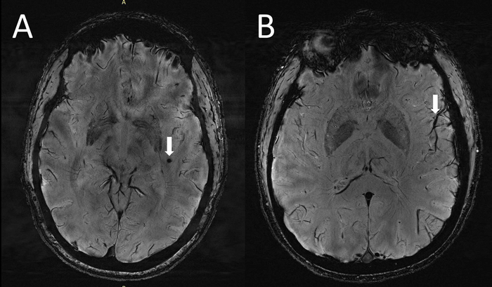
Egy új tanulmány most először azonosított megnagyobbodott perivaszkuláris tereket a migrénes betegek agyában – írja a sajtóközlemény. A perivaszkuláris tér, egy folyadékkal teli tér, amely számos szervben, köztük az agyban veszi körül a vérereket, és a leggyakrabban a bazális ganglionokban, a nagyagy fehérállományában, valamint a látóideg mentén helyezkednek el. A perivaszkuláris tereket számos tényező befolyásolja, beleértve a vér-agy gát rendellenességeit és a gyulladásos folyamatokat. A perivaszkuláris terek tágulata az agyi kis erek betegségének a jele is lehet.
A migrént ehhez képest valószínűleg nem kell bemutatni: ez egy gyakori, gyakran levertséggel társuló és súlyos, visszatérő fejfájással járó állapot. A migrén ezen kívül még émelygést, gyengeséget és fényérzékenységet is okozhat. Az American Migraine Foundation szerint világszerte 148 millió ember szenved krónikus migrénben.
A mostani tanulmányhoz a kutatók tudomása szerint először használtak ultra-nagy felbontású MRI-t a migrén okozta agyi mikrovaszkuláris változások tanulmányozására. Mint azt az egyik kutató elmondta:
„Mivel a 7T MRI képes sokkal nagyobb felbontású és jobb minőségű képeket készíteni az agyról, mint más MRI-típusok, így ezek a felvételek felhasználhatóak akár a sokkal kisebb változások kimutatására is, amelyek migrén után az agyszövetben történnek.”
Ennek köszönhető, hogy először sikerült megfigyelni, hogy a krónikus migrénben és epizodikus, aura nélküli migrénben szenvedőknél jelentős változások következnek be a centrum semiovale nevű agyi régió perivaszkuláris tereiben. A 7T MRI egyébként annyira új technológia, hogy a londoni King's College is tavaly készített ilyen felvételt először. A T betű a Teslára utal, ami ebben az esetben a mágneses indukció mértékegysége – a technológia lényege ugyanis, hogy az erősebb mágnesek segítségével képes jóval nagyobb felbontású képeket készíteni az eddigi MRI készülékeknél, így ezeken már az egészen finom elváltozások is érzékelhetőek.
A mostani kutatási eredményre visszatérve: mindez azért lehet fontos, mert a perivaszkuláris terek az agy folyadéktisztító rendszerének a részei, így ha megvizsgáljuk, hogyan járulnak hozzá ezek az elváltozások a migrénhez, jobban megérthetjük a migrén kialakulását is.
A vizsgálatban 10 krónikus migrénben szenvedő, 10 aura nélküli epizodikus migrénben szenvedő beteg, valamint öt főnyi korosztályos egészséges kontrollcsoport vett részt – minden beteg 25 és 60 év közötti volt. A statisztikai elemzés kimutatta, hogy a centrum semiovale-ban a megnagyobbodott perivaszkuláris terek száma szignifikánsan magasabb volt a migrénes betegekben, mint az egészséges kontroll csoport tagjai esetében. A kutatók azt feltételezik, hogy a migrénes betegek perivaszkuláris tereinek jelentős különbségei az egészséges csoporthoz képest az agyi glimphaticus rendszer (tehát a korábban említett „tisztító rendszer”) zavarára utalhat. Mindennek bizonyításához további, kiterjedtebb vizsgálatokra van azonban szükség.
(Kép: Pixabay/TheDigitalArtist)

Elektromos Macan
A klasszikus Porsche formanyelv előremutató átdolgozásával a teljesen elektromos Macan már első pillantásra szemlélteti saját lelkületét. Legyen szó városi használatról vagy ingázásról, a teljesen elektromos Macan elemében van mindenhol, különösen, ha az egyéniség is számít.
IRÁNY A KONFIGURÁTOR
Taycan modellek
A Porsche első elektromos autója és az autózás új korszakának kezdete. Rendkívüli hatékonyság és családbarát méretek akár 761 lóerővel, akár 463 kilométeres hatótávval és számos világújdonsággal.
IRÁNY A KONFIGURÁTOR
Cayenne E-Hybridek
A mindentudó. Családbarát SUV benzines V6-os vagy V8-as motorral a kimagasló teljesítmény és konnektorról is tölthető elektromotorral a kiemelkedő hatékonyság és tisztaság jegyében. A Porsche, amely nem ismer határokat.
IRÁNY A KONFIGURÁTOR
Panamera Sport Turismo E-Hybridek
Minden, amit a Panamera tud, plusz még több. Ötszemélyes utastér óriási csomagtartóval és kategóriaelső variálhatósággal. Tisztán elektromos közlekedés vagy éppen 680 lóerő – amire Önnek éppen szüksége van.
IRÁNY A KONFIGURÁTOR